|
阿尔茨海默病的迷思蝌蚪五线谱 2019-06-14 |
最近几年,常有人感慨,“坏人变老了”。这也难怪,以“老人”为关键词,可以搜出一大堆新闻:碰瓷的,吵架的,要求别人让座的,甚至是往飞机发动机里丢硬币的(《又向飞机发动机扔硬币!你知道这有多危险吗?》)。
老人(图片来源:psychologytoday)
不过,教养的来源大致相似,不文明的原因却各不相同——那些忽然激动起来大吵大闹的老人,年轻时未必如此,他们可能只是“变坏”了。
脑子里的破坏者
哪里变坏了?脑子。
下图展示了两颗大脑。不需要具备病理学知识,任何一个视觉正常的人都能看出,右侧的大脑存在病变。它的体积严重缩水,脑沟严重加深,正常的脑皮层,几乎不复存在。
两颗大脑(图片来源:NIH)
把大脑变坏的,正是很多老人性情转变的原因——阿尔茨海默病(Alzheimer's Disease,AD)。
那是1901年,德国精神病学家阿尔茨海默(Alzheimer)遇到一位患者,奥古斯特。奥古斯特出现了记忆损失的症状,她会忘记某个单词怎么读、某个地方怎么走。老实说,记忆损失并不稀奇,稀奇的是,她慢慢把自己都忘了。
阿尔茨海默(左)与奥古斯特(右)(图片来源:thefreedictionary)
我们都会遗忘,比如说,明明考试之前刚看过某个知识点,却死活想不起来了;也有一些遗忘非常特别,比如说,高考刚刚结束,很多人可能会梦回考场。在梦中,我们不仅会忘记知识点,甚至会忘记身在何处、自己是谁。这便是记忆崩溃。
当然,等我们醒来,一切都会恢复正常;而阿尔茨海默病患者,始终生活在“我到底是谁”的长梦里,永远无法醒来。
显微镜下的改变
究竟是什么引起了这些症状呢?
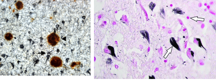
1906年,奥古斯特去世了,阿尔茨海默解剖了她的大脑,结果显示,她的大脑皮质里存在大量炎性斑块(神经炎性斑,senile plaques),在神经细胞内部,本该互不干涉的纤维,则纠缠到一起(神经原纤维缠结,neurofibrillary tangles)。
神经炎性斑(左)、神经原纤维缠结(右)(图片来源:researchgate)
神经炎性斑来自于β-淀粉样蛋白,而神经原纤维缠结的背后,是tau蛋白。
要想了解它们的作用,可以想一想城市。如果我们把大脑比作一个城市,那么,神经就像是城市里四通八达的道路。道路分很多种,有公路、铁轨、地下通道,等等,它们的共同特点是,一怕堵塞、二怕超载。与此同理,大脑里也分布着形形色色的神经元,tau蛋白如同钢铁一样,构成了它们的骨架,维持着神经元的结构稳定。
大脑皮层神经元(图片来源:《组织学与胚胎学》)
β-淀粉样蛋白,则像山上的落石,它可以毒害神经。一旦发生“泥石流”,大量β-淀粉样蛋白聚集成神经炎性斑,不但货物通行受阻,久而久之,tau蛋白也会被破坏。钢铁受损,铁轨自然维持不了太久;一个神经元死亡之后,便是下一个。
尤其古怪的是,β-淀粉样蛋白十分“偏爱”海马体,那里恰恰是人类的记忆中心。
生活中的磨难
过去,人们常常用老年痴呆指代阿尔茨海默,它非常简洁地指出了这种疾病的发病年龄和症状。不过,广义上的痴呆症,包括血管性痴呆病、帕金森病等,阿尔茨海默病最为多见,占到痴呆症的70%;症状也是三者中最古怪的。
与帕金森相比,阿尔茨海默病以记忆损失为第一症状。起初是近事遗忘,随着病情的发展,可出现远期记忆减退。帕金森患者,则往往先出现运动失调。
至于血管性痴呆,影响范围较为明确,哪里血管出了问题便波及哪一脑区。正如前面所说,β-淀粉样蛋白偏爱海马体,而海马体是人体的记忆中心,是短期记忆转化为长期记忆的地方,所以阿尔茨海默病可能会出现记忆崩溃,空间、思维、语言能力全面下降,甚至是性情改变,忘记自己是谁,原本很内向的一个人,忽然变得冲动。
记忆的丧失,意味着阿尔茨海默病患者连简单的穿衣、吃饭都没办法做到,语言和人格崩溃,会把他们束缚在床上,让他们终日卧床、沉默不语。这可引起两个后果:一方面,免疫力下降,出现肺部、尿路感染;另一方面,若是翻身不及时,某些部位的皮肤长期受压,可能会缺氧、坏死。
因为这些并发症,阿尔茨海默病患者平均只可以活5~10年,比很多癌症患者都低;与此同时,他们也是家庭的严重负担,全球每年花在阿尔茨海默病上的费用,超过万亿。
苏大强,《都挺好》里的阿尔茨海默病(图片来源:问剧)
这还不是最恐怖的——最恐怖的是,我们都会变老。根据既有研究估算,到2050年、我们变老的时候,每33秒,阿尔茨海默病就会逮到一个新的受害者。
所以问题来了:阿尔茨海默病,有办法治疗吗?
实验室里的希望
延缓病情的方法有。还是用回道路那个比方,遇到道路受阻,又没办法疏通,可以发动群众、用人力搬运货物。对于大脑来说,神经递质就是“人力”。虽然神经细胞的损伤不可逆,但是,通过药物改善神经递质的活性,可以改善认知、延缓病情。
阿尔茨海默病的治疗(作者自制)
彻底治愈的方案尚无。
最近十几年,全球的制药企业在阿尔茨海默病上投入了上千亿美金。 不客气地说,这些钱都打了水漂——研发失败率超过97%,强生、罗氏、默克等巨头,先后折戟。
为什么呢?
可能是方向错了。
前面说到,β-淀粉样蛋白形成的斑块,既是阿尔茨海默病的典型表现,也是神经原纤维缠结的推手,因此,学者提出了β-淀粉样蛋白假说,即,只要阻止β-淀粉样蛋白斑块的形成,便能对抗,甚至是逆转大脑病变。
如果这种假说是对的,我们可以推理:只要存在β-淀粉样蛋白斑块,就会发病,同时,患者脑内的β-淀粉样蛋白越多,病情越重。可惜,许多研究显示并非如此。
我们知道β-淀粉样蛋白是有害的,我们知道大脑尤其是海马体病变导致了阿尔茨海默病的种种症状,但是,在这张巨大的研究画卷里,还缺少最关键的一块拼图——β-淀粉样蛋白是从哪里来的?
一直到今年年初,新的希望才出现。
未完结的战争
在研究中,学者发现,β-淀粉样蛋白具有抗菌作用,即是说,β-淀粉样蛋白的形成可能不是原因,而是结果,是人体对抗外来感染的一种手段,只不过失控了。学者用牙龈卟啉单胞菌感染小鼠,小鼠脑内果然出现了阿尔茨海默病的典型表现:β-淀粉样蛋白凝集、tau蛋白变性。
牙龈卟啉单胞菌是一种生活在口腔里的细菌,牙周炎的主要原因之一——说到这里,有的朋友可能会问,就这么简单,只要注意口腔卫生就能预防阿尔茨海默病?
我们也希望如此,不过,应该没有这么简单。一方面,关于牙龈卟啉单胞菌的研究才刚刚开始,还缺少足够的证据;另一方面,口腔是细菌的温床,在我们的嘴巴里,生活着700多种细菌,只要免疫力正常,它们并不会引起疾病。
换句话说,根据目前的研究,我们似乎可以把阿尔茨海默病当作一种机会性疾病。免疫力下降、外来病菌可能会蔓延至大脑,大脑不得不合成β-淀粉样蛋白进行杀菌;这是一把双刃剑,β-淀粉样蛋白如果失控,便有可能引起阿尔茨海默病,把老人“变化”。
阿尔茨海默病目前还没有治愈的手段,不过,如果我们的推理是对的,那么,预防阿尔茨海默病的方法蛮容易想到——其实,前几天,世界卫生组织刚刚发布了一份预防阿尔茨海默病的指南,其核心原则,可以用两句话总结:有则改之,无则加勉。烟、酒、肥胖、高血压、糖尿病等,有的话,尽快戒掉或者控制;均衡饮食、有序运动、正常社交,如果没有的话,尽快补上。至于形形色色的膳食补充剂,则完全不推荐。
即是说,预防阿尔茨海默病的关键,是建立一个系统的健康的生活方式。
【参考文献】
[1]贾建平. 神经病学[M]. 2013.
[2]ROHN T. The Triggering Receptor Expressed on Myeloid Cells 2: “TREM-ming” the Inflammatory Component Associated with Alzheimer’s Disease[M]. 2013, 2013.
[3]ALZHEIMER’S ASSOCIATION. 2016 Alzheimer’s disease facts and figures[J]. Alzheimer’s & Dementia: The Journal of the Alzheimer’s Association, 2016, 12(4): 459–509.
[4]BRIGGS R, KENNELLY S P, O’NEILL D. Drug treatments in Alzheimer’s disease[J]. Clinical Medicine (London, England), 2016, 16(3): 247–253.
[5]DOMINY S S, LYNCH C, ERMINI F, 等. Porphyromonas gingivalis in Alzheimer’s disease brains: Evidence for disease causation and treatment with small-molecule inhibitors[J]. Science Advances, 2019, 5(1): eaau3333.
[6]HAMPEL H, MESULAM M-M, CUELLO A C, 等. The cholinergic system in the pathophysiology and treatment of Alzheimer’s disease[J]. Brain: A Journal of Neurology, 2018, 141(7): 1917–1933.
[7]HOW K Y, SONG K P, CHAN K G. Porphyromonas gingivalis: An Overview of Periodontopathic Pathogen below the Gum Line[J]. Frontiers in Microbiology, 2016, 7.
[8]ZAFEIRIS D, RUTELLA S, ROY BALL G. An Artificial Neural Network Integrated Pipeline for Biomarker Discovery Using Alzheimer’s Disease as a Case Study[J]. Computational and Structural Biotechnology Journal, 2018, 16.
[9]MACKENZIE D. We may finally know what causes Alzheimer’s – and how to stop it[EB/OL]. New Scientist, [2019-05-09]. https://www.newscientist.com/article/2191814-we-may-finally-know-what-causes-alzheimers-and-how-to-stop-it/.
[10]PUBLISHING H H. What can you do to avoid Alzheimer’s disease?[EB/OL]. Harvard Health, [2019-05-15]. https://www.health.harvard.edu/alzheimers-and-dementia/what-can-you-do-to-avoid-alzheimers-disease.
[11]采用健康的生活方式有助于降低痴呆症风险[EB/OL]. [2019-05-16]. https://www.who.int/zh/news-room/detail/14-05-2019-adopting-a-healthy-lifestyle-helps-reduce-the-risk-of-dementia.
[12]老年痴呆症药物从何来?----中国科学院上海药物研究所[EB/OL]. [2019-05-17]. http://www.simm.cas.cn/kxcb/kxcb_kpwz/kxcb_xnxgbrzt/201809/t20180930_5125922.html.
[13]世界卫生组织 | 降低认知衰退和痴呆症风险[EB/OL]. WHO, [2019-05-16]. http://www.who.int/mental_health/neurology/dementia/guidelines_risk_reduction/zh/.
[14]Alzheimer’s Disease Fact Sheet[EB/OL]. National Institute on Aging, [2019-05-15]. https://www.nia.nih.gov/health/alzheimers-disease-fact-sheet.
[15]History of Alzheimer’s: Major Milestones[EB/OL]. [2019-05-15]. https://www.alzheimers.net/history-of-alzheimers/.
[16]Preventing Alzheimer’s Disease: What Do We Know?[EB/OL]. National Institute on Aging, [2019-05-15]. https://www.nia.nih.gov/health/preventing-alzheimers-disease-what-do-we-know.
[17]β淀粉样蛋白与阿尔茨海默病的新观点[EB/OL]. [2019-05-20]. http://html.rhhz.net/GJSJBX/2015-5
责任编辑:sun
科普中国APP
科普中国微信
科普中国微博

最新文章
-
为何太阳系所有行星都在同一平面上旋转?
新浪科技 2021-09-29
-
我国学者揭示早期宇宙星际间重元素起源之谜
中国科学报 2021-09-29
-
比“胖五”更能扛!我国新一代载人运载火箭要来了
科技日报 2021-09-29
-
5G演进已开始,6G研究正进行
光明日报 2021-09-28
-
“早期暗能量”或让宇宙年轻10亿岁
科技日报 2021-09-28
-
5G、大数据、人工智能,看看现代交通的创新元素
新华网 2021-09-28
















